请致电 +65 6479 9555

卵巢囊肿与症状

卵巢囊肿的类型

Ovarian Cyst Symptoms Singapore

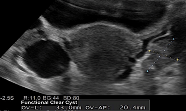
“水囊”或功能性卵巢囊肿是育龄期最常见的囊肿。功能性囊肿是正常排卵功能的结果。它们只含有液体,通常会在一两个月内消退,因此很少需要治疗。囊肿通常小于 5 厘米,但有时也会大至 8 厘米。

Ovarian Cyst Symptoms

“血性囊肿”或子宫内膜异位症(或巧克力囊肿)是由子宫内膜异位症形成的。子宫内膜异位症是指子宫内膜长在子宫外,导致月经从子宫外流出。子宫内膜异位症会在卵巢内形成血性囊肿,导致痛经和盆腔疼痛。

Ovarian Cyst Symptoms Singapore

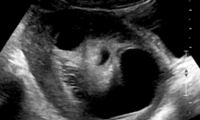
“组织囊肿”或皮样囊肿(或良性成熟囊性畸胎瘤)通常含有油性组织和毛发。皮样囊肿的形成是因为卵巢中的细胞可以发育成任何类型的身体组织。因此,这些囊肿通常含有皮肤、脂肪、骨骼和软骨。10%的情况下,皮样囊肿会发生在双侧卵巢。

Ovarian Cyst Symptoms in Singapore

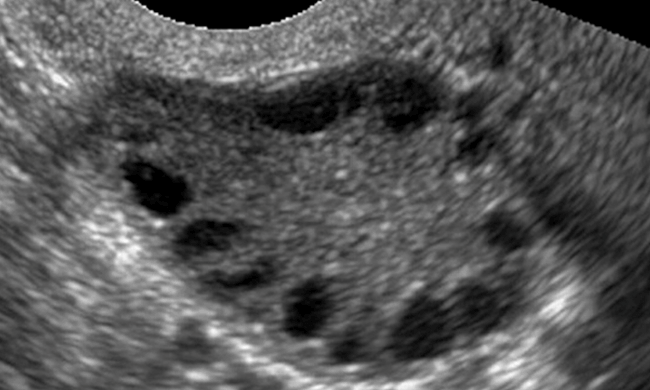
如果没有体重问题、月经异常或不孕症,“多囊卵巢”可能是一种正常现象。如果存在这些问题,那么多囊卵巢可能预示着存在一种叫做多囊卵巢综合症的代谢疾病。(多囊卵巢综合症)

Ovarian Cyst Symptoms

“复杂囊肿”或 “高度可以特征囊肿”是指囊肿内有不规则的实心区、厚囊壁和异常血流。这类囊肿需要专家评估和/或第二意见,以确定癌症风险。

卵巢囊肿的症状

卵巢囊肿可能没有任何症状,只有在例行健康检查时才会被发现。

但是,当卵巢囊肿引起症状时,它们可能表现为以下症状:

  • 腹部沉重和不适
  • 腹胀
  • 盆腔疼痛
  • 膀胱或肠道受压症状
  • 如果囊肿影响卵巢激素分泌,则会导致月经不调
  • 如果囊肿较大或形成粘连,则会导致不孕

可能会发生两种需要紧急治疗的囊肿事故--扭转和渗漏。它们可能表现为:

  • 突发性剧痛
  • 恶心和呕吐
  • 头晕和昏厥
Ovarian Cyst Symptoms

扭转

Ovarian Cysts Signs Symptoms Singapore

渗漏

我们诊所的专长
  • 超过20 年的卵巢囊肿治疗经验
  • 受过国际培训的腹腔镜妇科外科医生
  • 腹腔镜手术治疗卵巢囊肿的坚定倡导者
  • 擅长单切口腹腔镜手术
  • 恢复快、痛苦小、几乎无疤痕
Ovarian Cyst Clinic
如需咨询卵巢囊肿筛查、诊断和治疗事宜,请联系我们的诊所
ASC 妇女诊所私人有限公司
鹰阁附楼 #05-38
6A 纳皮尔路
新加坡 258500

预约 : +65 6479 9555
电子邮件 : surgery@anthonysiow.com
Top