Choose Language: EN CN
Call us at +65 6479 9555

OVARIAN CYST SYMPTOMS

Types of Ovarian Cysts

Ovarian Cyst Symptoms Singapore

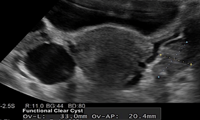
"Water Cysts" or Functional ovarian cysts are the most common cysts in the reproductive age. Functional cysts are the result of normal ovulation function. They contain only fluid and usually resolve in a month or two, hence treatment is rarely needed. They are usually less than 5cm although sometimes they can be as large as 8cm.

Ovarian Cyst Symptoms

"Blood Cysts" or Endometriomas (or chocolate cysts) are formed by Endometriosis. Endometriosis is a condition where the womb lining is found outside the womb, causing menstruation outside the womb. Endometriosis can form blood cysts inside the ovary leading to painful menstruation and pelvic pain.

Ovarian Cyst Symptoms Singapore

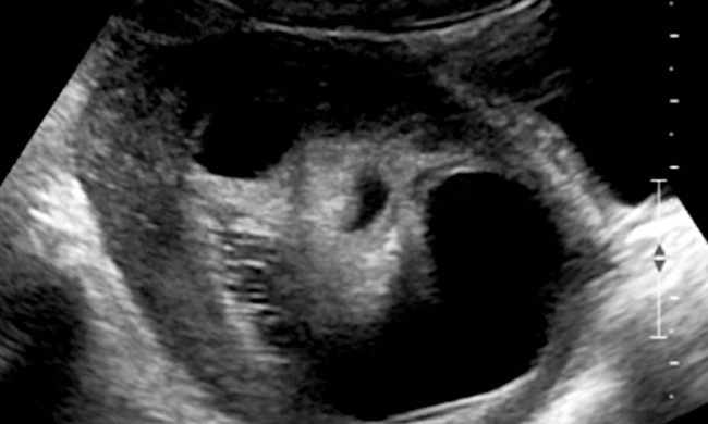
"Tissue Cysts" or Dermoid Cysts (or benign mature cystic teratomas) usually contain oily tissues and hair. Dermoid Cysts form because the ovary has cells that can develop into any type of body tissue. Hence, these cysts often contain skin, fat, bone and cartilage. Dermoid cysts can happen in both ovaries 10% of the time.

Ovarian Cyst Symptoms in Singapore

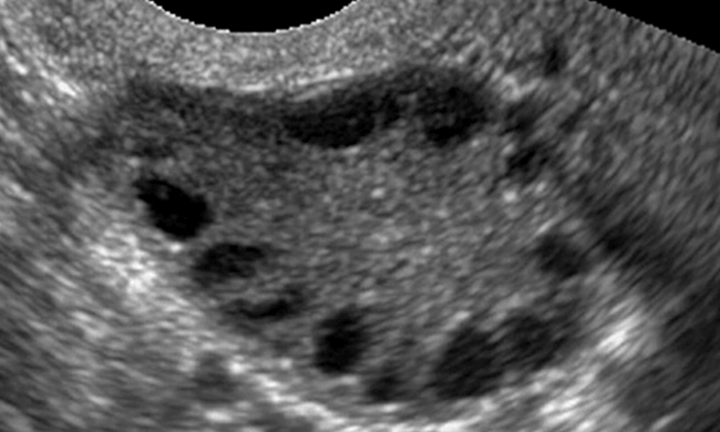
“Polycystic Ovary” can be a normal finding if there are no weight issue, abnormal menstruation or infertility. If such issues are present, then polycystic ovaries may indicate the presence of a metabolic condition called Polycystic Ovarian Syndrome. (PCOS)

Ovarian Cyst Symptoms

“Complex Cysts” or “Cysts with Highly Suspicious Features” are cysts with irregular solid areas, thick cyst walls and abnormal blood flow. This kind of cyst will require a specialist assessment and/or a second opinion to ascertain the risk of cancer.

Symptoms of Ovarian Cyst

Ovarian cysts can be present with no symptoms and only be discovered at a routine health screening.

However, when they do cause symptoms, they can present with:

  • Abdominal heaviness and discomfort
  • Bloating
  • Pelvic pain
  • Pressure symptoms on the bladder or bowel
  • Irregular menstruation if the cyst affects ovarian hormone production
  • Infertility if they are large or form adhesions

There are two Cyst Accidents – Torsion and Leakage – that can happen which require urgent treatment. They can present with:

  • Sudden and severe pain
  • Nausea and vomiting
  • Dizziness and fainting spells
Ovarian Cyst Symptoms

Torsion

Ovarian Cysts Signs Symptoms Singapore

Leakage

OUR CLINIC'S EXPERTISE
  • Over 20 Years’ Experience in Ovarian Cyst Management
  • Internationally-Trained Laparoscopic Gynaecological Surgeon
  • Strong Advocate of Laparoscopic Surgery for Ovarian Cyst
  • Specialised in Single Incision Laparoscopy
  • Fast Recovery, Minimal Pain, Almost Scarless
Ovarian Cyst Clinic
Dr Anthony Siow

DR ANTHONY SIOW

Consultant Obstetrician & Gynaecologist
Medical Director, ASC Clinic for Women

MMed (O&G) (S’pore)
FRCOG (UK)
MRANZCOG (Aust-NZ)
FAMS (S’pore)
Australasian Gynae Endoscopy Society Member
American Assoc Gynae Laparoscopy Member

Dr Anthony Siow is a Consultant Obstetrician & Gynaecologist with over 20 years of experience in the diagnosis and treatment of ovarian cysts, including assessment based on symptoms and imaging findings. He has a long-standing interest in minimally invasive ovarian cyst surgery, was awarded the Ministry of Health Scholarship for Advanced Laparoscopy in Australia, and performs laparoscopic and single incision laparoscopic surgery for selected ovarian cyst cases. As Medical Director of ASC Clinic for Women, he recommends ovarian cyst surgery only when clinically indicated.

Contact Our Clinic For Enquiries on Ovarian Cyst Screening, Diagnosis & Treatment
ASC Clinic for Women Pte Ltd
Gleneagles Annexe #05-38
6A Napier Road
Singapore 258500

Appointments : +65 6479 9555
Email : surgery@anthonysiow.com

Blog
Top